我先把光碟掃入我們醫院的影像系統,聽他娓娓道來。
原來許先生三年前曾經因為手麻腳麻無力在外院接受過頸椎手術, 但手術過程似乎不是很順利, 手術後仍然有四肢麻痺無力及疼痛的情形, 他覺得一點改善也沒有,反而加重了病情。
![]() |
| 術前的MRI,發現頸椎多節壓迫,且壓迫的病灶似乎有連續性 |
![]() |
| 術後病人脊椎裝置了三節的人工椎間盤 |
許先生看我似乎有疑惑欲言又止的樣子,便很直接地說:「鄞醫師,不瞞您說, 我本身就是一位醫師, 這次手術也是經由同學介紹去找某醫院的名醫開的,光人工椎間盤的費用就花了超過70萬,費用對我是小問題, 但我覺得手術後反而更嚴重, 糟糕的是後來醫師說目前很難再處理;這三年我遍訪北中南的名醫,也託人介紹, 但其他醫師看到我的狀況以及X光,都不太願意接手,這簡直宣判我沒救了;我還沒發病的時候可是運動健將, 你看到我現在還能走路,其實是靠意志力硬練復健來的......」
聽病人這樣說, 我直覺這肯定是個很棘手的case.
而我關心兩件事:
1.為什麼病患的症狀無法改善, 問題到底在哪裡? 能夠開這樣刀的人,技術肯定不差.
2.我們真的能夠幫他解決問題嗎?
理學檢查發現病患仍殘留有頸椎脊髓病變的情形,另外病患同時抱怨下背疼痛及右臀合併大腿酸痛。
再回顧術後的頸椎核磁共振(MRI)以及胸腰椎核磁共振(MRI),發現頸椎似乎仍有壓迫的情形,但因為人工椎間盤會導致影像被干擾,所以看不清楚;而腰椎第三四五節有明顯椎管狹窄的情形。
![]() |
| 術後頸椎仍有壓迫情形 |
![]() |
| 腰椎椎管狹窄 |
經過評估之後先幫病人安排了頸椎電腦斷層 (CT),證實了心中的懷疑,這病人本身是一個頸椎後縱韌帶骨化 (OPLL)導致脊髓壓迫的病例。
![]() |
| 電腦斷層可以明顯見到頸椎後縱韌帶鈣化殘留 |
所以,人工椎間盤是否適合這個病人呢?
手術後第一天,這位許醫師跟我說:「鄞醫師,非常謝謝你,這兩三年來我第一次可以平躺睡覺,以前平躺時都覺得胸口好像無法吸到空氣,因此只能側躺睡;昨晚術後平躺時覺得呼吸有改善,呼吸所需要的肌肉比較能夠出力了。」
另外病患同時也有腰椎椎管狹窄的問題,也因此會影響到他的下肢神經症狀和肌力,我們臨床上已經見過大量的病例同時有頸椎及腰椎的問題 。
後來和病患及家屬經過幾次討論評估,確認診斷,以及考慮手術的效果預後,經過充分的溝通後決定幫病人同時施行頸椎及腰椎的手術。
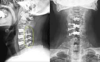
手術方式是頸椎後側椎板成形手術 (laminoplasty ), 腰椎神經減壓及融合固定手術 (laminectony and fusion)
![]() |
| 頸椎椎板成形手術 ( |
![]() |
| 腰椎減壓及融合固定手術,使用鉭金屬(tantalum)椎體間融合器 |
許醫師出院時雙手麻痹的程度已經改善一半了,回門診時都有逐漸進步;目前術後約半年,他自述已經可以公園走路兩個小時,已經可以爬小山運動了。
從這個病例,也讓我學到幾件事情:
1.從前聽過的VIP病人反而容易在醫療過程中出現問題的傳言又再度浮現腦中。 由於病人身分特殊, 有時候醫療行為及照護上會出現和普通病人不一樣的方式,不管是病患自己要求或者是醫師想要給予特別的照顧,此時不確定性反而增高,結果是好或壞就很難說了。這也告誡自己,以後成為病人的時候,千萬不要出現這種VIP徵候群...
2.再有經驗的外科醫師難免都會有手術結果不如意的時候,而我們面對前人處理不是那麼理想的case,有時候就事論事,基於解決病人問題的立場,反而事情會較單純;像這個病人,可能原來手術的醫師是某位大教授,導致後來的醫師即使知道問題所在也不願意動手處理,不管是同行相忌,怕觸犯前人或者怕沒有十足把握處理好等等原因,這都是人之常理,但病人可能就多受苦好多年。由於我不認識原本的醫師,當下只想說自己是否可以順利處理好,盡量不去考慮前面是誰開的;有些太嚴重的案例真的處理不來的病人,也只好愛莫能助了。
3. 開刀真的不是越昂貴的醫材就越好,真正有價值的是正確的診斷,合理的治療策略以及純熟的手術技術。雖然在現在這個時代,手術技術與治療策略相對於高貴的醫材似乎不怎麼值錢,但這才是真正能夠達到手術目的,成功治療病人的核心。
參考:
一位腰椎椎間盤突出的醫師
參考:
一位腰椎椎間盤突出的醫師






